Contenu protégé
Ces données sont strictement protégées par le droit d'auteur et la législation sur la propriété intellectuelle.
Toute capture, reproduction, diffusion ou utilisation non autorisée de ce contenu est passible de poursuites judiciaires civiles et pénales.
© Capsule Med — Art. L.335-2 et s. du Code de la Propriété Intellectuelle
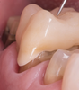
Retraitement biomimétique des dents couronnées : préparations verticales et moignons sans tenon renforcés à l’aide de fibres
Cours de deux jours avec TP
Depuis une vingtaine d'années, les préparations pour couronnes à limites verticales sont de retour en grâce. Résurgences de la limite cervicale dite en "trace" de la prothèse paradontale, les vertipreps et autres BOPT ont logiquement accompagné l'essor d'une nouvelle céramique très résistante, la Zircone.
Ces préparations offrent le double avantage de réaliser une économie tissulaire dentaire notable, mais aussi de permettre un conditionnement et un modelage gingival sans équivalent.
Cerise sur le gâteau, en optimisant l'effet ferrule, elles agissent en synergie avec les reconstructions corono-radiculaires modernes, adhésives et dépourvues de tenon radiculaire, renforçant ainsi les tissus dentaires résiduels, notamment en cas de retraitement prothétiques.
Contenu du programme :
- Retraitement prothétique minimalement invasif
- Les préparations verticales pour couronnes
- Intérêt biomécanique et biologique des préparations à limites verticales
- Matériaux prothétiques et protocoles de laboratoire associés aux préparations verticales
- Reconstruction corono-radiculaire sans tenon
Intervenant(s)
Dr David Gerdolle
Chirurgien-dentiste
- Diplôme de chirurgien-dentiste à la faculté de Chirurgie Dentaire de Nancy en 1993
- Certificats post-graduate en biologie oro-faciale et ostéo-articulaire, implantologie, prothèses et dentisterie adhésive des Universités de Paris et de Göteborg
- Membre du corps enseignant de l'Université de Nancy entre 1993 et 2005
- Exercice privé à Vevey-Montreux (Suisse) depuis 2006. Pratique dédiée à la dentisterie peu invasive et aux techniques adhésives
- Direction d'un Certificat Universitaire post-graduate à l'Université de Paris Garancière
- Auteur et co-auteur de nombreux articles dans des revues nationales et internationales sur le sujet de la dentisterie adhésive et minimalement invasive
Le programme détaillé
8h30 – 9h00 : Accueil et café de bienvenue
9h00 – 10h30 : A propos des lignes de finition et assemblage
1. Limites verticales vs horizontales
2. Couronnes : scellées ou collées ?
10h30 – 11h00 : Pause-café
11h00 – 13h00 : A propos du matériau
1. Pouvons-nous coller ou non ?
2. Comment concilier résistance et esthétique ?
3. Conception des limites et de l’anatomie prothétique
13h00 – 14h00 : Pause déjeuner
14h00 – 15h30 : Préparation verticale et temporisation
Démonstration live sur modèles :
1. Clé en silicone
2. Préparation Vertiprep/BOPT (dent 21)
3. Couronne provisoire et façonnage gingival
15h30 – 16h00 : Pause-café
16h00 – 18h00 : Travaux pratiques
8h30 – 9h00 : Accueil et café de bienvenue
9h00 – 10h30 : Reconstruction du moignon coronaire
1. Comment coller dans le canal ?
2. Quels matériaux utiliser ? Pourquoi des fibres ?
3. Options cliniques de reconstruction
10h30 – 11h00 : Pause-café
11h00 – 13h00 : Conditionnement tissulaire et remodelage des tissus mous
1. Façonnage du profil d’émergence (Vertiprep vs BOPT)
2. Reproduction du profil d’émergence au laboratoire
13h00 – 14h00 : Pause déjeuner
14h00 – 15h30 : Reconstruction du moignon coronaire en composite renforcé par fibres (sans tenon)
Démonstration live sur modèle (dent 21)
15h30 – 16h00 : Pause-café
16h00 – 18h00 : Travaux pratiques
18h00 : Clôture et fin de la formation
Objectifs pédagogiques
2. Apprendre comment conditionner la gencive pour améliorer le biotype parodontal sans chirurgie.
3. Maîtriser l'utilisation des composites fibres (fibres longues & fibres courtes)
Retraitement biomimétique des dents couronnées
8-9 oct. 2026 de 8h30 à 18h (2 jours)
Paiement en plusieurs fois disponible sur demande
Formulaire de contact
Liste d’attente
Inscrivez-vous sur la liste d’attente pour cette formation. Nous vous contacterons en priorité dès qu’une place se libère.
Nous vous contacterons dès qu’une place est disponible.
Retraitement biomimétique des dents couronnées : préparations verticales et moignons sans tenon renforcés à l’aide de fibres
Cours de deux jours avec TP
Depuis une vingtaine d'années, les préparations pour couronnes à limites verticales sont de retour en grâce. Résurgences de la limite cervicale dite en "trace" de la prothèse paradontale, les vertipreps et autres BOPT ont logiquement accompagné l'essor d'une nouvelle céramique très résistante, la Zircone.
Ces préparations offrent le double avantage de réaliser une économie tissulaire dentaire notable, mais aussi de permettre un conditionnement et un modelage gingival sans équivalent.
Cerise sur le gâteau, en optimisant l'effet ferrule, elles agissent en synergie avec les reconstructions corono-radiculaires modernes, adhésives et dépourvues de tenon radiculaire, renforçant ainsi les tissus dentaires résiduels, notamment en cas de retraitement prothétiques.
Contenu du programme :
- Retraitement prothétique minimalement invasif
- Les préparations verticales pour couronnes
- Intérêt biomécanique et biologique des préparations à limites verticales
- Matériaux prothétiques et protocoles de laboratoire associés aux préparations verticales
- Reconstruction corono-radiculaire sans tenon
Modalités d'accès
Avoir une pratique clinique en odontologie (chirurgien-dentiste).
- Chirurgiens-dentistes
- Étudiants en fin de cursus dentaire
- Inscription en ligne via la fiche produit Capsule
- Confirmation immédiate par e-mail (récapitulatif + facture)
- Convocation envoyée 5 à 10 jours ouvrés avant la session (lieu, horaires, infos pratiques)
- Inscriptions possibles jusqu’à S-2, sous réserve de places disponibles
- Contact via https://capsule-med.com/pages/contact pour toute question
- Cours théoriques illustrés de données scientifiques et cas cliniques
- Démonstrations live sur modèles
- Travaux pratiques encadrés
- Échanges interactifs avec les intervenants
Évaluation continue via les travaux pratiques et échanges avec les formateurs.
En cas de situation de handicap, une étude de faisabilité sera faite afin de proposer une formation adaptée. Une salle de formation répondant aux normes d’accessibilité d’accueil du public est mise à disposition. (Seulement si formation en présentielle).
Ils nous font confiance
Retours d’expérience de praticiens et d’orthodontistes formés avec Capsule
Dr Yannis GENIQUE
Chirurgien-dentiste à Saverdun, conférencier
Docteur de Pamiers
Chirurgien-dentiste spécialisé en implantologie et parodontologie
Réponses aux questions fréquemment posées.
L’inscription est-elle payante ?
Quelles sont les formations proposées par Capsule ?
Comment puis-je m'inscrire à une formation ?
Comment accéder à mon espace personnel sur la plateforme ?
La commande a été créée avec succès.
Ajouter une adresse
