Prise en charge contemporaine des usures
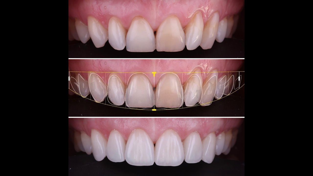
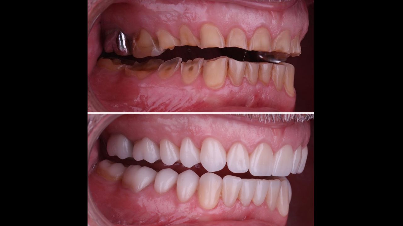
De plus en plus de patients se présentent au cabinet avec des lésions érosives sévères, à la recherche de traitements qui répondent à la fois à des préoccupations esthétiques et fonctionnelles, dans le but de retrouver une meilleure qualité de vie.
Les réhabilitations globales peuvent s’avérer particulièrement complexes pour les praticiens peu expérimentés, et trop souvent, une prise en charge partielle de ces patients conduit à des compromis insatisfaisants. Lors de cette présentation, nous verrons comment traiter ces patients de manière simple, en adoptant une approche minimalement invasive et biomimétique.
Nous discuterons également de la façon dont les outils numériques peuvent nous aider à planifier ces traitements, tant sur le plan esthétique grâce à des logiciels de design du sourire adaptés, que sur le plan fonctionnel à l’aide de divers outils 3D. Nous aborderons aussi la gestion de l’occlusion à l’aide d’outils simples afin d’assurer la meilleure longévité possible à nos traitements.
Notre objectif est d’offrir à nos patients des traitements esthétiques, confortables et durables, tout en respectant des délais de traitement raisonnables.
À l’issue de cette conférence, les participants seront capables de :
1.Identifier les signes cliniques des dentitions usées et comprendre les causes principales de l’usure dentaire (érosion, abrasion, attrition).
2.Élaborer une stratégie de traitement globale, intégrant les considérations esthétiques, fonctionnelles et biologiques, chez les patients atteints d’usure sévère.
3.Mettre en œuvre une approche biomimétique et minimalement invasive, en respectant les tissus dentaires résiduels et en évitant les surtraitements.
4.Utiliser les outils numériques (smile design, analyse fonctionnelle 3D, mock-up numérique) pour planifier et visualiser le traitement avec précision.
5.Assurer une gestion occlusale cohérente, à l’aide d’outils simples, pour favoriser la stabilité à long terme des restaurations.
6. Optimiser la communication avec le patient, en facilitant l’adhésion au plan de traitement grâce à des outils visuels et une planification progressive.
Prise en charge contemporaine des usures
Format Présentiel
Dates & Heures : 5- 6 Fév. 2026 de 8h30 - 18h00 (2 jours)
Nom de l'intervenant : Dr Jean-David Boschatel
Programme
Objectifs pédagogiques
Nombre de places
20
Prise en charge contemporaine des usures
De plus en plus de patients se présentent au cabinet avec des lésions érosives sévères, à la recherche de traitements qui répondent à la fois à des préoccupations esthétiques et fonctionnelles, dans le but de retrouver une meilleure qualité de vie.
Les réhabilitations globales peuvent s’avérer particulièrement complexes pour les praticiens peu expérimentés, et trop souvent, une prise en charge partielle de ces patients conduit à des compromis insatisfaisants. Lors de cette présentation, nous verrons comment traiter ces patients de manière simple, en adoptant une approche minimalement invasive et biomimétique.
Nous discuterons également de la façon dont les outils numériques peuvent nous aider à planifier ces traitements, tant sur le plan esthétique grâce à des logiciels de design du sourire adaptés, que sur le plan fonctionnel à l’aide de divers outils 3D. Nous aborderons aussi la gestion de l’occlusion à l’aide d’outils simples afin d’assurer la meilleure longévité possible à nos traitements.
Notre objectif est d’offrir à nos patients des traitements esthétiques, confortables et durables, tout en respectant des délais de traitement raisonnables.
À l’issue de cette conférence, les participants seront capables de :
1.Identifier les signes cliniques des dentitions usées et comprendre les causes principales de l’usure dentaire (érosion, abrasion, attrition).
2.Élaborer une stratégie de traitement globale, intégrant les considérations esthétiques, fonctionnelles et biologiques, chez les patients atteints d’usure sévère.
3.Mettre en œuvre une approche biomimétique et minimalement invasive, en respectant les tissus dentaires résiduels et en évitant les surtraitements.
4.Utiliser les outils numériques (smile design, analyse fonctionnelle 3D, mock-up numérique) pour planifier et visualiser le traitement avec précision.
5.Assurer une gestion occlusale cohérente, à l’aide d’outils simples, pour favoriser la stabilité à long terme des restaurations.
6. Optimiser la communication avec le patient, en facilitant l’adhésion au plan de traitement grâce à des outils visuels et une planification progressive.
Modalités d'accès