Contenu protégé
Ces données sont strictement protégées par le droit d'auteur et la législation sur la propriété intellectuelle.
Toute capture, reproduction, diffusion ou utilisation non autorisée de ce contenu est passible de poursuites judiciaires civiles et pénales.
© Capsule Med — Art. L.335-2 et s. du Code de la Propriété Intellectuelle
Une journée de formation clinique dédiée à l’esthétique antérieure directe
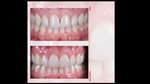
Cette journée de théorie et de travaux pratiques est consacrée à la restauration des dents antérieures par composites directs. Conçue comme une immersion complète, elle associe apports théoriques, raisonnement clinique et mise en pratique afin de permettre une application directe et maîtrisée au cabinet.
Destiné aux chirurgiens-dentistes souhaitant structurer ou approfondir leur approche de la dentisterie esthétique antérieure, ce TP propose une méthodologie progressive moderne, depuis l’analyse anatomique et optique jusqu’à la réalisation clinique des restaurations.
La formation met l’accent sur la compréhension de l’anatomie naturelle, la gestion des volumes, des textures et de la couleur, ainsi que sur les principales situations cliniques : restaurations de Classe IV et facettes vestibulaires en composite.
- Anatomie de la dent antérieure
- Analyse et prise de la couleur
- Principes de stratification des composites
- Restaurations de Classe IV
- Facettes vestibulaires en composite
Avec le soutien des laboratoires Pred.
Intervenant(s)
Dr Nicolò Barbera
Chirurgien Dentaire
- DMD – Docteur en Chirurgie Dentaire
- MAS en Dentisterie Esthétique et Micro-Invasive
- MS en Dentisterie Prothétique et Implanto-Prothétique
- Assistant au Département de Cariologie et Endodontie
- Université de Genève
Le Dr Barbera exerce une activité clinique et universitaire centrée sur la dentisterie restauratrice, esthétique et micro-invasive.
Le programme détaillé
09h30 : Anatomie et restaurations de Classe IV
11h00 : Pause
11h15 : Facettes vestibulaires et fermeture de diastème
12h30 : Déjeuner
15h30 : Mise en pratique
18h00 : Fin
Objectifs pédagogiques
- Structurer une stratification antérieure
- Analyser et reproduire l’anatomie et les effets optiques des dents antérieures
- Mettre en œuvre des restaurations antérieures directes en composite
- Appliquer des protocoles cliniques reproductibles et adaptés à la pratique quotidienne
Restauration Antérieure : Immersion totale avec TP
12 juin 2026 de 8h30 à 17h00
Paiement en plusieurs fois disponible sur demande
Formulaire de contact
Liste d’attente
Inscrivez-vous sur la liste d’attente pour cette formation. Nous vous contacterons en priorité dès qu’une place se libère.
Nous vous contacterons dès qu’une place est disponible.
Une journée de formation clinique dédiée à l’esthétique antérieure directe
Cette journée de théorie et de travaux pratiques est consacrée à la restauration des dents antérieures par composites directs. Conçue comme une immersion complète, elle associe apports théoriques, raisonnement clinique et mise en pratique afin de permettre une application directe et maîtrisée au cabinet.
Destiné aux chirurgiens-dentistes souhaitant structurer ou approfondir leur approche de la dentisterie esthétique antérieure, ce TP propose une méthodologie progressive moderne, depuis l’analyse anatomique et optique jusqu’à la réalisation clinique des restaurations.
La formation met l’accent sur la compréhension de l’anatomie naturelle, la gestion des volumes, des textures et de la couleur, ainsi que sur les principales situations cliniques : restaurations de Classe IV et facettes vestibulaires en composite.
- Anatomie de la dent antérieure
- Analyse et prise de la couleur
- Principes de stratification des composites
- Restaurations de Classe IV
- Facettes vestibulaires en composite
Avec le soutien des laboratoires Pred.
Votre lieu partenaire pour cette formation
Description
C’est au coeur d’un véritable écrin de verdure de 160 hectares que le château de Roques se dévoile. Cette imposante bâtisse de briques roses est dessinée au XIXe siècle par le comte François Henri de Portes.
Ancienne demeure noble, le château ouvre aujourd’hui ses portes pour vous proposer des séjours inoubliables et des moments suspendus dans le temps.
Laissez vous séduire par le calme du lieu, sa vue dégagée sur les Pyrénées, ses sentiers et son jardin à la française.
Tarif négocié de l'hôtel
Modalités d'accès
- Connaissances de base de l’anatomie des dents antérieures
- Notions de base de la couleur en dentisterie
- Expérience avec les composites directs et les instruments de modelage
- Chirurgiens-dentistes omnipraticiens
- Praticiens souhaitant développer ou consolider leur pratique en dentisterie esthétique antérieure
- Inscription en ligne via la fiche produit Capsule
- Confirmation immédiate par e-mail (récapitulatif + facture)
- Convocation envoyée 5 à 10 jours ouvrés avant la session (lieu, horaires, infos pratiques)
- Inscriptions possibles jusqu’à S-2, sous réserve de places disponibles
- Contact via https://capsule-med.com/pages/contact pour toute question
- Apports théoriques illustrés de cas cliniques et données scientifiques
- Travaux pratiques encadrés
- Démonstrations cliniques
- Mise en application directe par les participants
Contrôle & évaluation des acquis par des travaux sur modèle.
En cas de situation de handicap, une étude de faisabilité sera faite afin de proposer une formation adaptée. Une salle de formation répondant aux normes d’accessibilité d’accueil du public est mise à disposition. (Seulement si formation en présentielle).
Ils nous font confiance
Retours d’expérience de praticiens et d’orthodontistes formés avec Capsule
Dr Yannis GENIQUE
Chirurgien-dentiste à Saverdun, conférencier
Docteur de Pamiers
Chirurgien-dentiste spécialisé en implantologie et parodontologie
Réponses aux questions fréquemment posées.
L’inscription est-elle payante ?
Quelles sont les formations proposées par Capsule ?
Comment puis-je m'inscrire à une formation ?
Comment accéder à mon espace personnel sur la plateforme ?
La commande a été créée avec succès.
Ajouter une adresse
