Contenu protégé
Ces données sont strictement protégées par le droit d'auteur et la législation sur la propriété intellectuelle.
Toute capture, reproduction, diffusion ou utilisation non autorisée de ce contenu est passible de poursuites judiciaires civiles et pénales.
© Capsule Med — Art. L.335-2 et s. du Code de la Propriété Intellectuelle
Restauration esthétique du sourire chez le patient parodontal stabilisé : approche biomimétique et minimalement invasive - avec TP
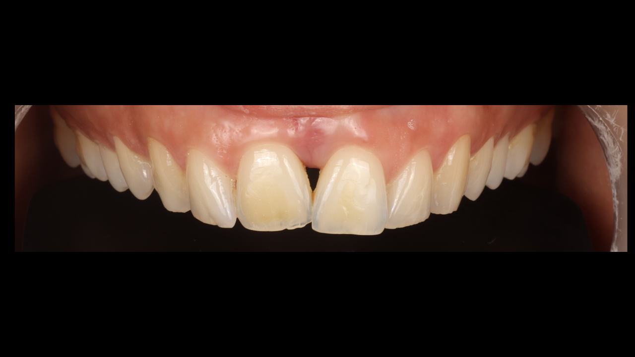
Cette formation offre aux praticiens les clés pour transformer les séquelles esthétiques post-parodontales en résultats harmonieux et naturels. Les patients présentant trous noirs ou diastèmes après stabilisation parodontale retrouveront confiance grâce à des solutions fiables, conservatrices et esthétiques. L’accent est mis sur les thérapeutiques directes, mimétiques et minimalement invasives, utilisant des composites hautement performants. L’utilisation stratégique de matrices et de protocoles adaptés à chaque situation clinique permet d’optimiser l’intégration esthétique et de garantir un sourire retrouvé, naturel et durable.
Intervenant(s)
Dr Nicolas Alaux
Chirurgien-dentiste, Toulouse
- Docteur en Chirurgie Dentaire
- Assistant Hospitalo-Universitaire
- C.E.S. d’Odontologie Conservatrice et Endodontie
- Praticien de la consultation esthétique du service d’Odontologie du CHU de Toulouse
- Exercice libéral privé à Toulouse
Le programme détaillé
Nous aborderons la restauration du patient parodontal à travers l'étude de cas cliniques de complexité croissante.
- Indications des restaurations directes ou indirectes.
- Choix des techniques de restauration directe, y compris les différents types de matrices et les matériaux composites adaptés.
La session pratique sera dédiée à la gestion des espaces inesthétiques, avec les exercices suivants :
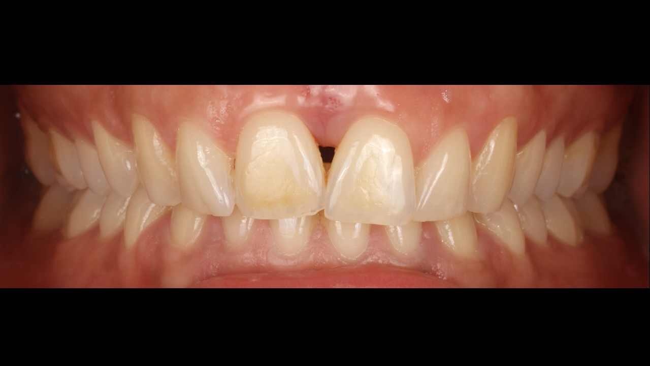
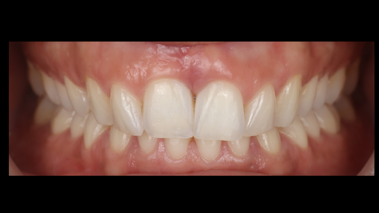
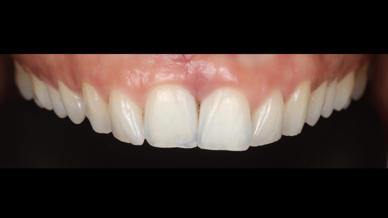
- Fermeture de trois "triangles noirs" (espaces interdentaires) au niveau des incisives 11/21/12/22 en utilisant les matrices Bioclear.
- Fermeture d'un diastème (espace entre les dents) 11/21 en employant la technique "Front Wing".
Objectifs pédagogiques
Restauration esthétique post-parodontale : stratégies directes minimalement invasives
21 mai 2026 de 9h00 à 17h30 (1 jour)
Paiement en plusieurs fois disponible sur demande
Formulaire de contact
Liste d’attente
Inscrivez-vous sur la liste d’attente pour cette formation. Nous vous contacterons en priorité dès qu’une place se libère.
Nous vous contacterons dès qu’une place est disponible.
Restauration esthétique du sourire chez le patient parodontal stabilisé : approche biomimétique et minimalement invasive - avec TP
Cette formation offre aux praticiens les clés pour transformer les séquelles esthétiques post-parodontales en résultats harmonieux et naturels. Les patients présentant trous noirs ou diastèmes après stabilisation parodontale retrouveront confiance grâce à des solutions fiables, conservatrices et esthétiques. L’accent est mis sur les thérapeutiques directes, mimétiques et minimalement invasives, utilisant des composites hautement performants. L’utilisation stratégique de matrices et de protocoles adaptés à chaque situation clinique permet d’optimiser l’intégration esthétique et de garantir un sourire retrouvé, naturel et durable.
Modalités d'accès
Aucun.
- Chirurgiens-dentistes libéraux et/ou salariés
- Inscription en ligne via la fiche produit Capsule
- Confirmation immédiate par e-mail (récapitulatif + facture)
- Convocation envoyée 5 à 10 jours ouvrés avant la session (lieu, horaires, infos pratiques)
- Inscriptions possibles jusqu’à S-2, sous réserve de places disponibles
- Contact via https://capsule-med.com/pages/contact pour toute question
- Apports théoriques illustrés de cas cliniques et données scientifiques
- Travaux pratiques encadrés
- Démonstrations cliniques
- Mise en application directe par les participants
Contrôle & évaluation des acquis par des travaux sur modèle.
En cas de situation de handicap, une étude de faisabilité sera faite afin de proposer une formation adaptée. Une salle de formation répondant aux normes d’accessibilité d’accueil du public est mise à disposition. (Seulement si formation en présentielle).
Ils nous font confiance
Retours d’expérience de praticiens et d’orthodontistes formés avec Capsule
Dr Yannis GENIQUE
Chirurgien-dentiste à Saverdun, conférencier
Docteur de Pamiers
Chirurgien-dentiste spécialisé en implantologie et parodontologie
Réponses aux questions fréquemment posées.
L’inscription est-elle payante ?
Quelles sont les formations proposées par Capsule ?
Comment puis-je m'inscrire à une formation ?
Comment accéder à mon espace personnel sur la plateforme ?
La commande a été créée avec succès.
Ajouter une adresse
